Керамические коронки: естественный вид и точная посадка от 27 500 ₽
Коронки CEREC: никто не отличит протез от натурального зуба
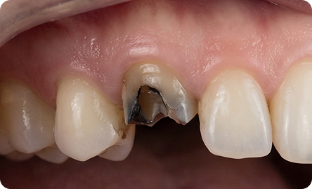
Часто коронка — единственный способ спасти зуб и избежать удаления





Технологии CEREC для коронок, которые точно «садятся» с первого раза и без примерок
Что вы получите, установив коронку на зуб
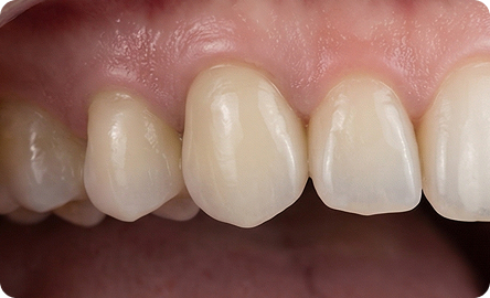
История Наталии
Врач «Денити» предложил установить цельнокерамическую коронку по технологии CEREC, которая восстанавливает форму и цвет зуба всего за один визит.
Мы используем только проверенные материалы и передовые технологии, чтобы каждая коронка идеально подходила к вашему зубу и служила долгие годы. Гарантируем предсказуемый результат.
Цифровой план гарантирует точную подгонку коронки под ваши зубы и прикус
Digital Smile Design (DSD) — система цифрового моделирования, благодаря которой коронка изготавливается с точностью до сотых долей миллиметра с учетом формы зубов, прикуса и особенностей улыбки.
Процесс позволяет заранее оценить результат и убедиться, что новая коронка не нарушает прикус, а зуб будет выглядеть гармонично.
- Форма коронки моделируется на компьютере так, чтобы полностью соответствовать форме, цвету и высоте вашего зуба.
- Вы участвуете в планировании и можете внести корректировки, чтобы результат соответствовал вашим ожиданиям.
DSD позволяет создать коронку, которая идеально вписывается в зубной ряд и эстетический баланс улыбки, даже в самых сложных случаях.
Пошаговое восстановление зуба коронкой


Оборудование, исключающее ошибки при создании коронок



Реальные результаты: как коронки возвращают уверенность и естественный вид
Врачи «Денити» установили 520 коронок с идеальным результатом и без нареканий
Наши достижения подтверждают доверие пациентов и точность реставраций
Создаем пространство, где каждый визит к стоматологу проходит без стресса
Пациенты рассказывают, как мы возвращаем естественную улыбку










































